
5 Ergebnisse
56
3´-sdmC
3´-sdmC
4: V1∆sdmB
3: V1∆sdm
2: V1∆sdmB
1: wt
I
I
sdmA
sdmA
ac
IV
sdmC
sdmA
ac
Eco RI
IV
I
ac
sdmC
sdmB
sdmA
2761 bp 2521 bp
Nco I
I
Eco RI
IV
4494 bp
IV
3000
23
41
23
41
4
3
bp
2
1
1500
1200
2500
2000
4000
6000
A
B
C
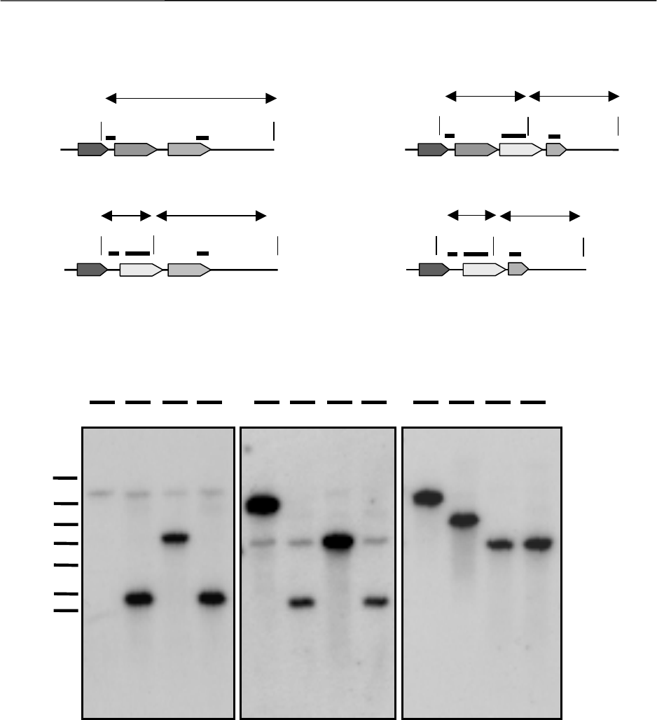
Abb. 16: Southern-Blot-Analyse der Deletionsmutanten V1
∆
sdmB, V1
∆
sdmC
und V1
∆
sdmBC
Oberer Teil: Schematische Darstellung der Bindestellen der Sonden IV, V bzw. VI und der
Schnittstellen der Restriktionsendonukleasen Eco RI und Nco I im Bereich der Gengruppe sdmABC
für 1: den Wildtyp, 2: die Mutante V1
∆
sdmB, 3: V
∆
sdmC und 4: die Doppelmutante V1
∆
sdmBC
Unterer Teil: Die chromosomale DNA 1: des Wildtyps, 2: der Mutante V1
∆
sdmB, 3: der Mutante
V1
∆
sdmC und 4: der Doppelmutante V1
∆
sdmBC wurde mit Eco RI und Nco I behandelt und in einer
Southern-Blot-Analyse mit A: der Sonde V, B: der Sonde IV bzw. C: der Sonde VI untersucht.
bp: Größenstandard in Basenpaaren.
Kommentare zu diesen Handbüchern